广东新迈生物科技有限公司
导航
Heliyon | F种人腺病毒短纤突蛋白头节区诱导机体产生交叉中和抗体反应

2024年8月3日,广州医科大学附属第一医院儿科陈德晖教授团队和呼吸疾病全国重点实验室田新贵研究员团队联合广东新迈生物科技有限公司和深度进化(广州)生物技术有限公司在Heliyon期刊上发表题为The short fiber knobs of human adenovirus in species F elicit cross-neutralizing antibody responses的研究论文。广州医科大学附属第一医院儿科刘振卫博士和硕士研究生唐国璐为共同第一作者。广州医科大学附属第一医院儿科陈德晖教授和呼吸疾病全国重点实验室田新贵研究员为共同通讯作者。

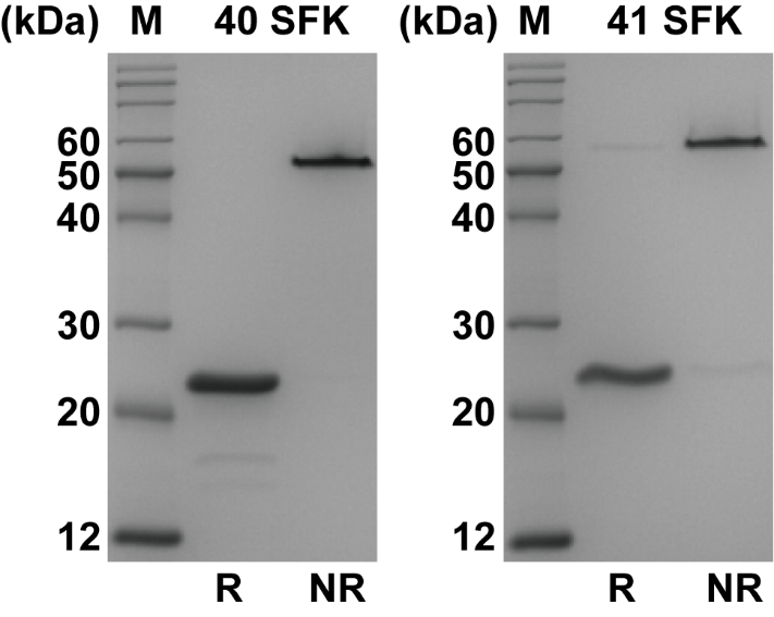
研究成功制备了人腺病毒40型和41型短纤突蛋白头节区重组蛋白(图1)。研究发现:F种人腺病毒短纤突蛋白头节区诱导交叉中和抗体反应。研究揭示了F种人腺病毒纤突蛋白头节区含有交叉中和抗原表位。该研究为抗F种人腺病毒广谱中和抗体和疫苗的研发提供理论基础和指导作用。


1. 人腺病毒40型和41纤突蛋白头节区重组蛋白十二烷基硫酸钠-聚丙烯酰胺凝胶电泳图

SFK:短纤突蛋白头节区;R:还原;NR:非还原。


原文链接:https://doi.org/10.1016/j.heliyon.2024.e35783

新迈生物提供新迈生物提供本研究中使用的重组蛋白: